סמייל-קר-שיקום הפה

שיקום הפה

לפעמים, סתימה בודדת או טיפול נקודתי פשוט לא מספיקים. שיניים שנשחקו, מנשך שאיבד גובה, או שילוב של שיניים חסרות וכתרים ישנים – כל אלו יוצרים מצב שדורש ראייה רחבה יותר באמצעות תהליך של שיקום הפה. ב-Smile Care, אנו מתייחסים לפה כיצירה אדריכלית שצריכה לתפקד בהרמוניה: לעיסה יציבה, מפרקים בריאים ואסתטיקה טבעית שגורמת לכם לחייך בביטחון.

 

שיקום

מהו בעצם שיקום הפה?

שיקום הפה (הנקרא לעיתים גם "שיקום פה מלא") הוא המסע המורכב, המקיף והמרתק ביותר ברפואת השיניים המודרנית. זהו תהליך אסטרטגי שמטרתו להחזיר למערכת הלעיסה את האיזון הפיזיולוגי והאסתטי שאבד לה עם השנים. בניגוד לטיפול חירום שנועד לכבות שריפות, כאן נדרש תכנון הנדסי מעמיק. אצלנו במרפאה, ד"ר מג'ד וד"ר מרסיל מובילים גישה של תכנון הוליסטי: אנחנו בוחנים את הקשר העדין שבין השיניים, רקמות החניכיים, שרירי הלעיסה ומפרק הלסת.

כאשר המערכת הזו יוצאת מאיזון, ההשפעה היא גורפת. זה יכול להתחיל בכאב ראש לא מוסבר בבוקר, להמשיך בקושי ללעוס סטייק או תפוח, ולהסתיים בהימנעות מחיוך בתמונות משפחתיות. המטרה שלנו בטיפול היא לא רק לייצר שיניים "יפות ולבנות", אלא לבנות מערכת ביו-מכנית יציבה שתומכת בפנים, מונעת את קריסת הרקמות הרכות (הלחיים והשפתיים), ותחזיק מעמד עשרות שנים קדימה.

 

הפילוסופיה שלנו בשיקום: קודם כל משמרים

הערך העליון שמוביל אותנו בכל תוכנית טיפול, ובוודאי במקרים מורכבים של שיקום, הוא הגישה השמרנית (Minimally Invasive Dentistry). לפני שאנחנו רצים לפתרונות רדיקליים של עקירות, אנחנו נלחמים על כל שן טבעית.

אנחנו מאמינים ששן טבעית היא נכס ביולוגי שאין לו תחליף אמיתי, ושום שתל – איכותי ככל שיהיה – לא מתפקד טוב כמו השן שהטבע יצר לנו.

לכן, אם אתם מתלבטים לגבי הצלת שן או עקירה, דעו שאצלנו המאמץ העליון הוא תמיד לשמר. אנחנו משתמשים במיקרוסקופים ובטכנולוגיות מתקדמות כדי לטפל בדלקות ולבצע שחזורים שיאפשרו לשן להמשיך ולשרת אתכם כעוגן יציב לשיקום העתידי. רק כאשר אפסו כל הסיכויים, נפנה לפתרונות כירורגיים.

 

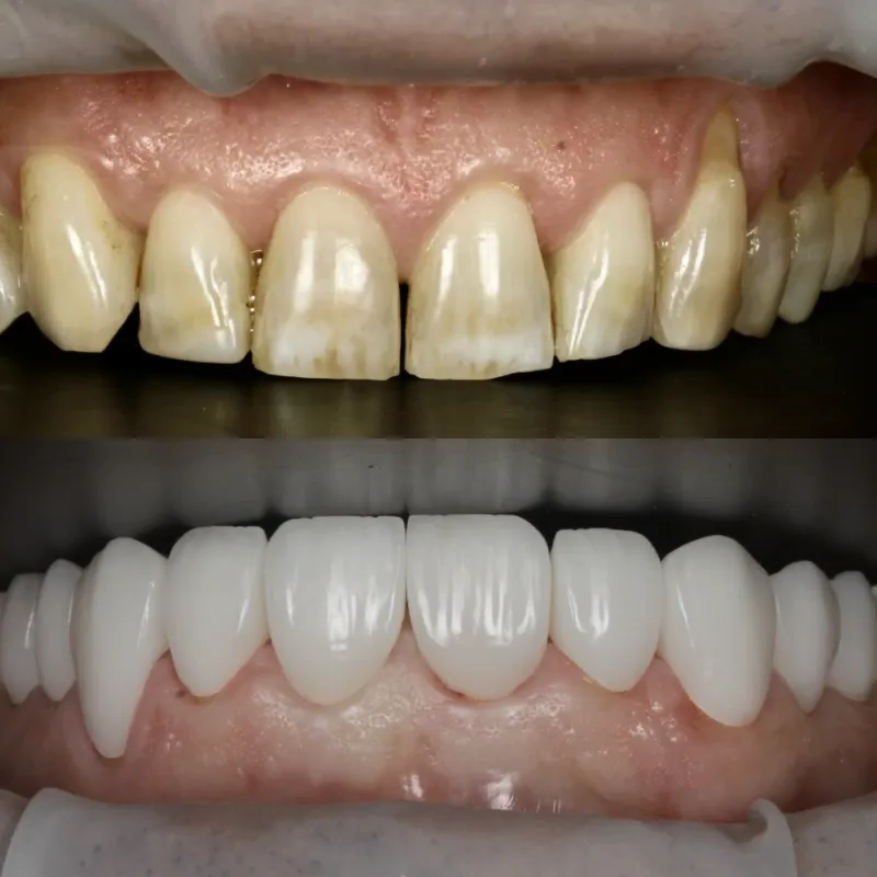
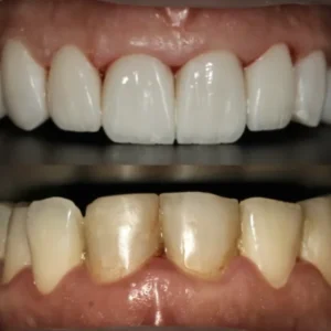
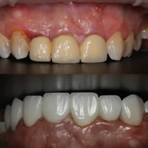
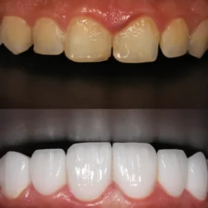
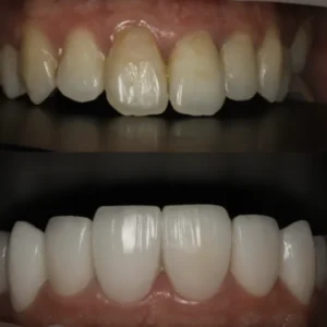
גלריית תמונות שיקום הפה

איך אנחנו משלבים בין שימור לחידוש?

תוכנית הטיפול ב-Smile Care היא לרוב "היברידית" – שילוב חכם ומדויק בין שיקום על גבי שיניים קיימות לבין השלמות מלאכותיות היכן שחייבים. הארגז הכלים שלנו עשיר ומגוון, ומאפשר לנו להתאים לכל מטופל את הפתרון המדויק למצב הפה שלו:

שיקום על גבי שיניים טבעיות

כאשר השן קיימת אך פגועה, שחוקה או חלשה, המטרה שלנו היא לעטוף אותה ולהחזיר לה את הצורה והכוח המקוריים, תוך הקרבה מינימלית של חומר שן. עבור שיניים שעברו טיפולי שורש או סובלות מהרס נרחב, אנו משתמשים בכתרי זירקוניה או E-max. אלו חומרים קרמיים מתקדמים, נטולי מתכת לחלוטין, המאפשרים לנו לחקות את השקיפות והגוון של השן הטבעית בצורה מושלמת. בזכות השימוש בכתרים מסוג זה, אין יותר את אותו "פס אפור" בקו החניכיים שאפיין כתרים מדורות קודמים.

אחת מגולות הכותרת של הגישה השמרנית שלנו היא השימוש ב"אונליי" (Onlay/Inlay). במקום להשחיז את כל השן לכתר מלא – פעולה אגרסיבית שמורידה כ-70% מחומר השן – אנו משלימים רק את החלק החסר. באמצעות סריקה דיגיטלית, המעבדה מייצרת "השלמה קרמית" המודבקת בטכנולוגיה מתקדמת (בונדינג) אל השן. התוצאה היא שן חזקה להפליא, שנראית טבעית לחלוטין, וכל זה תוך שימור מקסימלי של רקמה בריאה.

בחזית הפה, היכן שהאסתטיקה היא קריטית, אנו עושים שימוש בציפויי חרסינה דקיקים. אלו מאפשרים לנו לתקן שחיקה, לשנות צורה ולשפר גוון, כמעט ללא נגיעה בשן המקורית. הציפויים הללו הם סוד הקסם של חיוכים רבים שנראים מושלמים אך טבעיים לחלוטין.

שיקום על גבי שתלים

במקומות שבהם השיניים כבר אינן, או במצבים שלא ניתן להצילן, שתלים דנטליים נכנסים לתמונה. בשיקום פה חלקי, השתלים משתלבים לצד השיניים הטבעיות המשוקמות ומשמשים כ"שורש מלאכותי" הנושא כתר או גשר. 

עם זאת, חשוב לדעת ששיקום פה מלא נותן מענה מצוין גם לאנשים שאיבדו חלק גדול או אפילו את כל השיניים שלהם. במקרים אלו, אנו מבצעים שיקום קבוע ומלא על גבי שתלים בלבד, לרוב באמצעות שיטות מתקדמות כמו All-on-4 או All-on-6. בשיטות אלו (All-on-X) ניתן לקבע קשת שיניים שלמה ויציבה על מספר מצומצם של שתלים אסטרטגיים. 

בכל סוגי השיקום, אנו מקפידים על שימוש בשתלים איכותיים (טיטניום או זירקוניה) ובהעדפה לשיקום מוברג, המאפשר תחזוקה קלה ובריאות טובה יותר של הרקמות לאורך זמן.

 

המלצות מלקוחות בנושא שיקום הפה

מתי נדרש תהליך של שיקום פה?

תהליך זה אינו מיועד לכל אחד, אלא למטופלים שמרגישים שהשיניים שלהם הגיעו לנקודת אל-חזור מבחינת תפקוד או אסתטיקה. הסימנים הנפוצים שמביאים אנשים למרפאה שלנו ברמת החייל כוללים:

שחיקת שיניים חמורה (ברוקסיזם): זהו אחד הגורמים הנפוצים ביותר. השיניים הופכות קצרות, שטוחות ורגישות לקור ולחום. מעבר לרגישות, השחיקה גורמת לאובדן "הגובה האנכי" של הפנים (VDO). התוצאה היא מראה פנים "נפול", זוויות פה שמוטות ומראה מבוגר מכפי גילכם האמיתי. שיקום הפה במקרה זה הוא הדרך היחידה להחזיר את הגובה שאבד.

קריסה של מערכת השיניים: חסר של מספר שיניים אחוריות גורם לשיניים הנותרות לזוז ממקומן, להיפתח עקב העומס המוגבר, ואף להיסדק. ללא תמיכה אחורית, כל עומס הלעיסה נופל על השיניים הקדמיות העדינות, מה שמוביל להרס מהיר שלהן.

בעיות במפרק הלסת: מטופלים רבים סובלים מכאבי ראש כרוניים, "קליקים" בפתיחת הפה וכאבי שרירים בצוואר ובפנים. לעיתים קרובות, המקור לכל אלו הוא מנשך לא מאוזן. שיקום הפה מחזיר את הלסתות למנח ניטרלי ורגוע, ולעיתים פותר כאבים של שנים.

אסתטיקה לקויה מרובת גורמים: שילוב של סתימות אמלגם (כסופות) ישנות, כתרים לקויים עם שוליים בולטים, שיניים שבורות וגוון צהבהב או לא אחיד. במקרים מסוימים, כחלק מההכנה לשיקום, נשלב גם הלבנת שיניים בטכנולוגיית Beyond Max 5 כדי להביא את השיניים הטבעיות לגוון הבסיס הרצוי לפני ביצוע הכתרים הסופיים.

 

המהפכה הדיגיטלית: ביטחון מלא בתוצאה

במקום לחשוש מחוסר וודאות ולשאול "איך אני אראה בסוף?", ב-Smile Care אנחנו מאפשרים לכם לראות ולהרגיש את התוצאה הסופית עוד לפני שנגענו בשן אחת. כל תהליך השיקום מבוסס על סריקה תלת-ממדית מהירה ומדויקת, ללא שימוש בחומרי מטבע שגורמים לאי-נוחות. לאחר תכנון ממוחשב (DSD), גולת הכותרת היא ה"הדמיה" (Mock-up): אנו יוצרים דגם זמני ומלבישים אותו על השיניים שלכם בפה. 

זהו שלב קריטי שמשמש כ"נסיעת מבחן" ומאפשר לכם להביט במראה, לדבר ולחייך עם השיניים החדשות, כדי להבטיח שהשיקום הסופי יהיה לא רק יפה, אלא גם נוח ומתפקד בהרמוניה מושלמת.

 

משנים את איכות החיים

שיקום הפה הוא הרבה מעבר לאסתטיקה; זוהי השקעה באיכות החיים שלכם. החזרת הגובה הנכון של השיניים משפרת את הלעיסה ולעיתים מעניקה אפקט טבעי של "מתיחת פנים" ורעננות. אנחנו כאן כדי ללוות אתכם יד ביד, משלב האבחון ועד לחיוך החדש. 

אם אתם מרגישים שהגיע הזמן לשינוי אמיתי, צרו איתנו קשר לבדיקה, ובואו נבנה יחד תוכנית שתחזיר לכם את הביטחון המלא.

 

שאלות ותשובות - שיקום הפה

מה זה בעצם שיקום הפה?
שיקום הפה הוא תהליך מקיף שמטרתו להחזיר את התפקוד, האסתטיקה והאיזון של מערכת השיניים. מדובר בשילוב של טיפולים כמו כתרים, שתלים, ציפויים ושחזורים – בהתאם למצב הפה.
הטיפול מתאים למקרים מורכבים כמו שחיקת שיניים חמורה, חסר של מספר שיניים, כתרים ישנים או בעיות סגר שגורמות לכאב או לפגיעה בתפקוד.
משך הטיפול משתנה בהתאם למורכבות המקרה ויכול להימשך ממספר שבועות ועד מספר חודשים. התהליך מתבצע בשלבים מתוכננים ומדויקים.
הטיפולים מתבצעים תחת אלחוש מקומי ובטכניקות מתקדמות, כך שרוב המטופלים אינם חווים כאב משמעותי. ייתכן חוסר נוחות קל בין שלבים, אך הוא זמני.
באמצעות תכנון דיגיטלי והדמיה (Mock-up), ניתן לראות ואף להתנסות בתוצאה העתידית עוד לפני תחילת הטיפול בפועל.
העלות משתנה מאוד בהתאם למצב הפה ולסוג הטיפולים הנדרשים. לאחר אבחון מקיף, תקבלו תכנית טיפול מפורטת הכוללת גם הצעת מחיר מותאמת אישית.

קביעת פגישה

כדי לקבל טיפול מדויק ומקצועי שמתאים בדיוק למצב שלך,
השאר פרטים ונחזור אליך לתיאום פגישה.