החיוך שלנו הוא כרטיס הביקור הראשון שאנו מציגים לעולם, ולגוון השיניים יש השפעה מכרעת על המראה הכללי ועל הביטחון העצמי שלנו. ב-Smile Care, אנו מבינים שבעולם הקצב המהיר של היום, אתם מחפשים פתרונות אסתטיים שלא רק מספקים תוצאות מרהיבות, אלא עושים זאת במהירות, בבטיחות וללא כאבים. באמצעות הטכנולוגיה החדשנית ביותר בעולם, אנו הופכים את החלום על חיוך לבן ונוצץ למציאות – בתוך שעה אחת בלבד.
המהפכה של Beyond Max 5: המילה האחרונה באסתטיקה דנטלית
שוק הלבנות השיניים מוצף בפתרונות, החל ממשחות שיניים "מבטיחות" ועד ערכות ביתיות, אך כשמדובר בתוצאה אמיתית, בטוחה ועמידה, אין תחליף לטכנולוגיה רפואית מתקדמת. במרפאה שלנו, בחרנו לעבוד עם המערכת המובילה בעולם בתחום: Beyond Max 5 בשילוב מכשיר Beyond Polus Advanced.
מכשיר זה נחשב ל"רולס-רויס" של הלבנות השיניים. בניגוד למנורות הלבנה ישנות שפלטו חום רב וגרמו לרגישות ולכאבים, הטכנולוגיה של Beyond Polus Advanced משלבת טכניקת אור (LightBridge) ייחודית. מערכת זו משלבת הלוגן בעוצמה גבוהה עם נורות LED, ועוברת דרך מערכת סינון אופטית מתקדמת המורכבת מ-150,000 סיבים אופטיים.
מה זה אומר מבחינתכם? הסינון הזה מסלק לחלוטין את החום ואת הקרינה האולטרה-סגולה (UV) המזיקה. התוצאה היא אור "קר" ועוצמתי, שחודר אל שכבות השן ומפרק את הפיגמנטים (הכתמים) ביעילות מקסימלית, ללא חימום השן וללא פגיעה באמייל או בעצב.
למי מתאים טיפול הלבנת שיניים?
השיניים שלנו הן "ספר ההיסטוריה" של הרגלי החיים שלנו. עם השנים, השכבה החיצונית של השן (האמייל) סופגת פיגמנטים ממזון ושתייה, והשן מאבדת את הבהירות הטבעית שלה. הטיפול ב-Smile Care מתאים למגוון רחב של אנשים:
1. לאוהבי החיים הטובים (קפה, יין ועישון): אם אתם נהנים מקפה של בוקר, כוס יין אדום בערב, תה, קולה או מעשנים – סביר להניח שהשיניים שלכם ספגו הצהבה משמעותית. הטכנולוגיה שלנו יודעת לפרק בדיוק את הכתמים הללו ולהחזיר את הגלגל לאחור.
2. לקראת אירועים בלתי נשכחים: חתונה, צילומי תדמית, ראיון עבודה חשוב או דייט מרגש – יש רגעים בחיים שבהם אנחנו רוצים להיראות במיטבנו. הלבנת שיניים היא הדרך המהירה והאפקטיבית ביותר לשדרג את ההופעה ("Glow Up") באופן מיידי.
3. למי שרוצה להרגיש בטוח: לא תמיד צריך סיבה מיוחדת. חיוך לבן ונקי משדר בריאות, אנרגיה ורעננות. מטופלים רבים מדווחים על תחושת ביטחון מחודשת ועל רצון לחייך יותר לאחר הטיפול.
איך זה עובד? המסע לחיוך לבן ב-4 שלבים פשוטים
התהליך ב-Smile Care הוא מהיר, מפנק ומקצועי. אתם מגיעים למרפאה, נחים על הכיסא הנוח, וכעבור 60 דקות יוצאים אנשים חדשים.
שלב 1: ייעוץ ובדיקת התאמה
לפני הכל, הבריאות. הרופא יבצע בדיקה קצרה כדי לוודא שאין חורים פתוחים או דלקת חניכיים פעילה, ושאתם מתאימים לטיפול. נתאים את הציפיות לגוון שניתן להגיע אליו באופן ריאלי (בהתאם לגוון הבסיס שלכם).
שלב 2: הגנה ובידוד
זהו שלב קריטי לבטיחות ולנוחות. אנו מורחים חומר הגנה ייחודי על החניכיים כדי לבודד אותן לחלוטין מהשיניים. כך אנו מבטיחים שחומר ההלבנה הפעיל ייגע אך ורק בשן עצמה, מה שמונע צריבות ואי-נוחות ברקמות הרכות.
שלב 3: הקסם של Beyond Max 5
אנו מורחים את ג'ל ההלבנה הייחודי על השיניים ומפעילים את מנורת ה-Beyond Polus Advanced. האור הכחול והממוקד מפעיל את הג'ל, שמפרק את הכתמים העמוקים והשטחיים כאחד. התהליך מתבצע בדרך כלל ב-3 סבבים קצרים של כ-15 דקות כל אחד, הכל באותה ישיבה. בזמן הזה אתם יכולים להאזין למוזיקה או פשוט לנוח.
שלב 4: הסרת החומר וחשיפת התוצאה
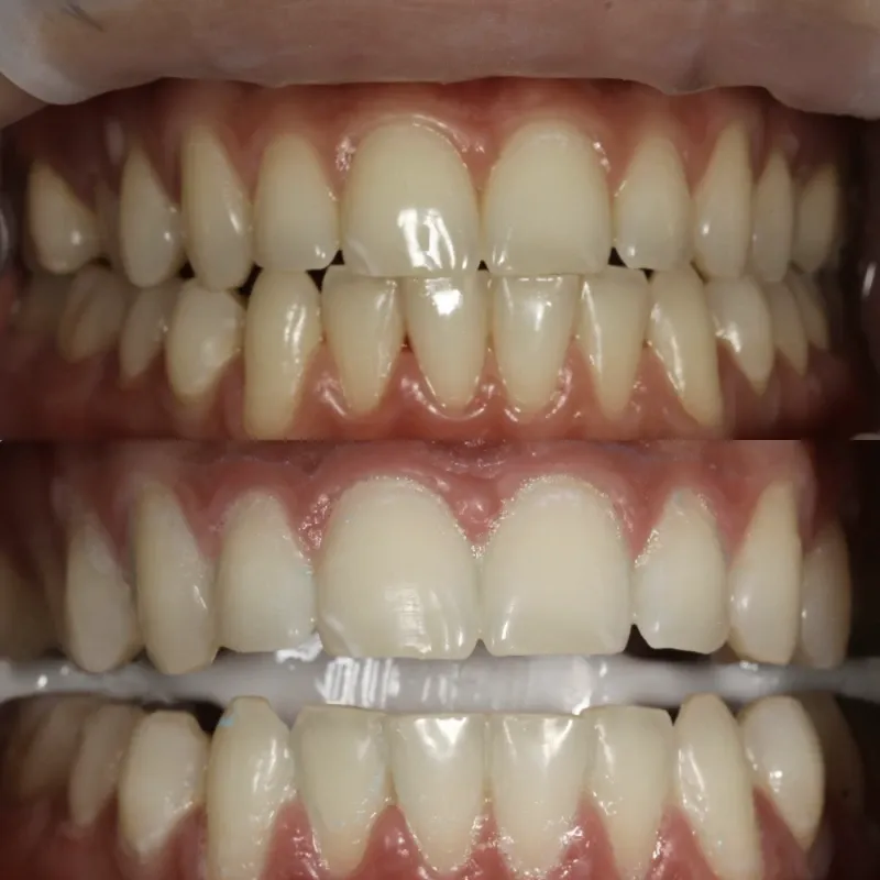
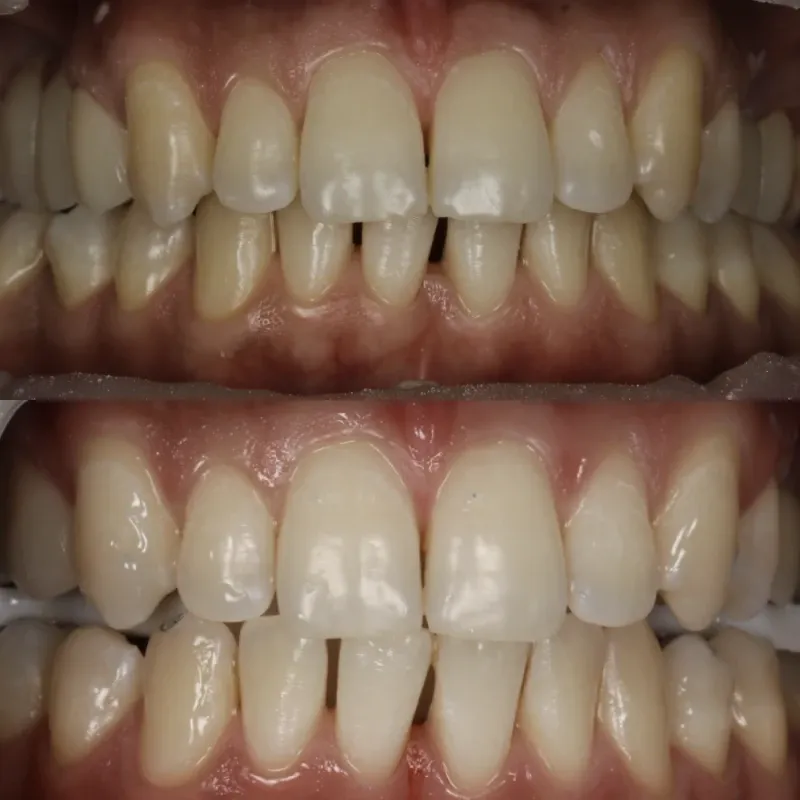
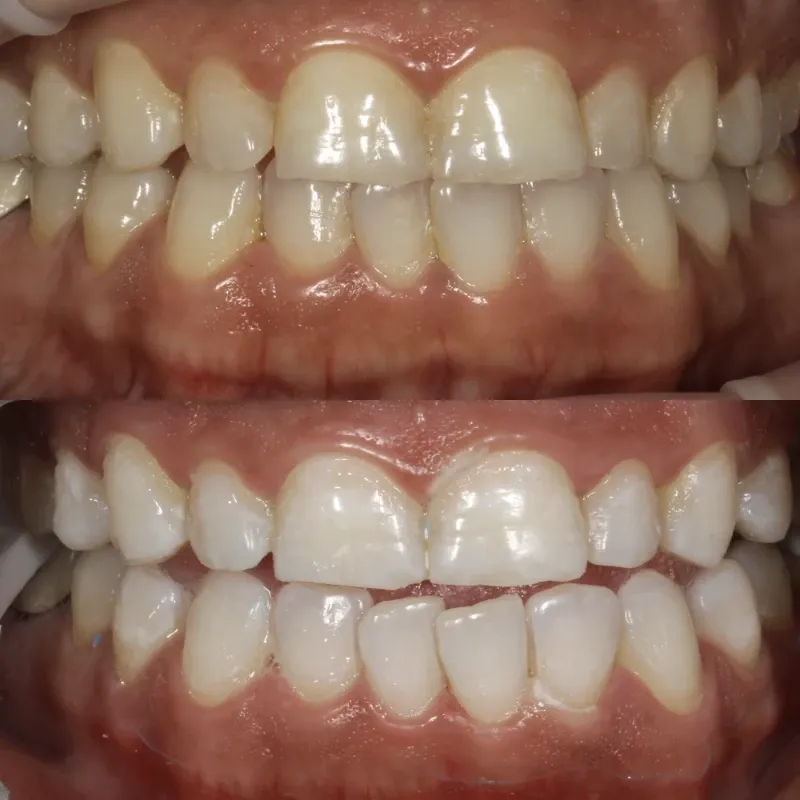
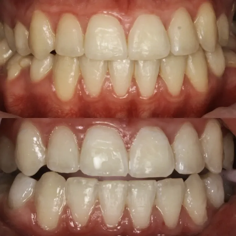
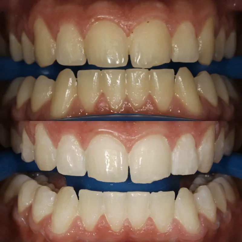
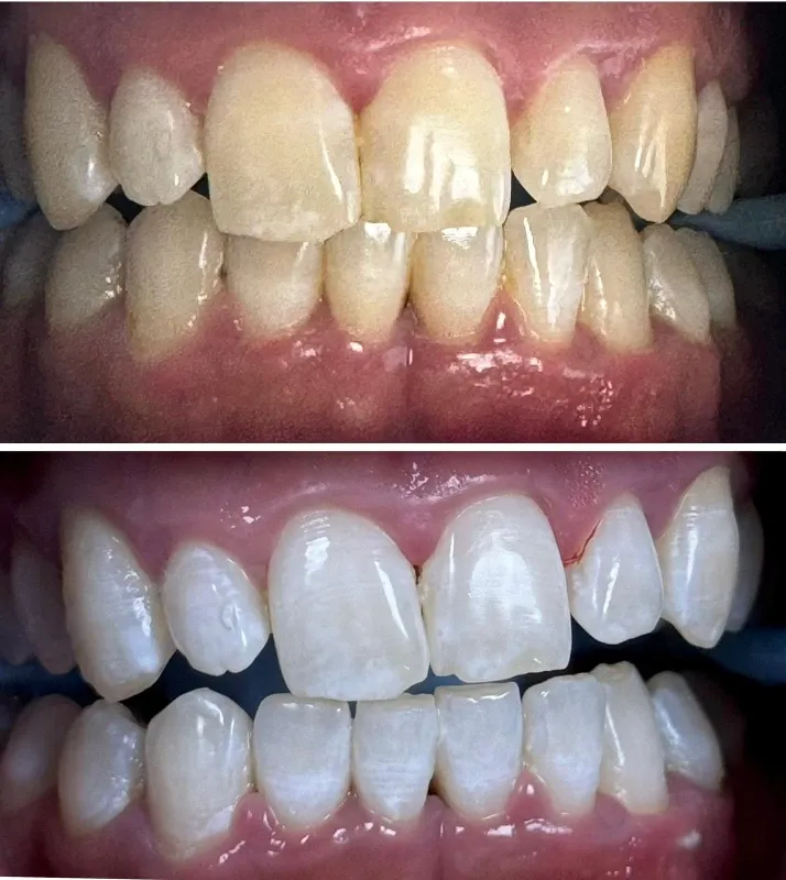
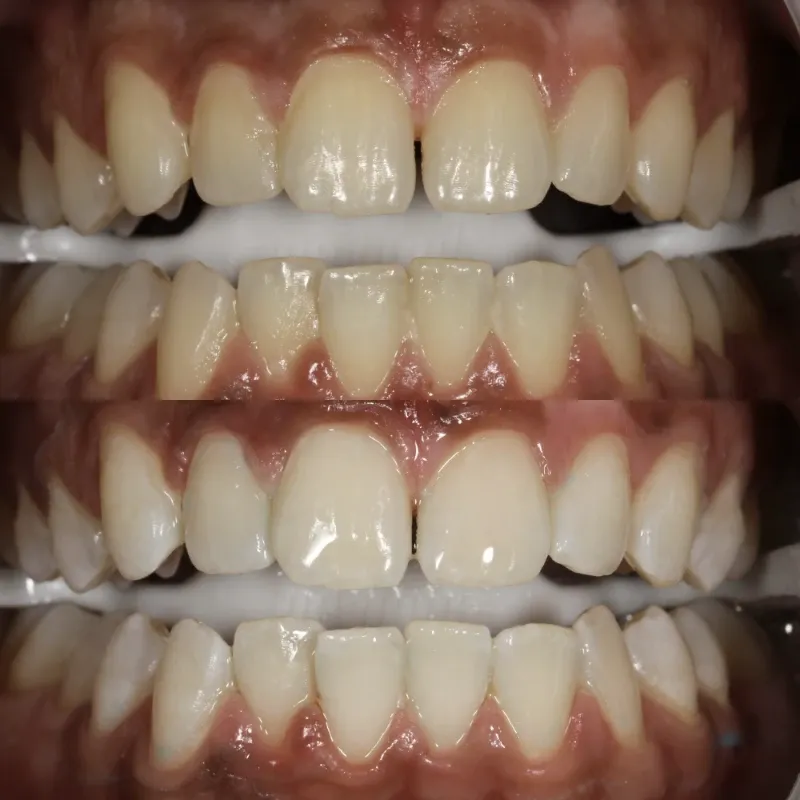
בסיום הסבבים, אנו מסירים את הג'ל ואת ההגנה, שוטפים את הפה ומגישים לכם מראה. התוצאה נראית לעין באופן מיידי – השיניים בהירות יותר, נקיות יותר ומבריקות.
בטיחות מעל הכל: מדוע לבחור בהלבנה מקצועית?
רבים מתלבטים בין הלבנה במרפאה לבין ערכות ביתיות. חשוב להבין: הלבנה ביתית ללא פיקוח עלולה להיות לא יעילה במקרה הטוב, ומזיקה במקרה הרע (פגיעה בחניכיים או שחיקת אמייל). ב-Smile Care, השימוש בטכנולוגיית Beyond Max 5 מעניק יתרונות בטיחותיים מובהקים:
ללא רגישות (או רגישות מינימלית): בזכות מערכת הסינון שמונעת חימום של השן, הטיפול מתאים גם לאנשים שסבלו בעבר מרגישות בשיניים.
שמירה על האמייל: החומרים שלנו פועלים על הפיגמנט בלבד ואינם משנים את המבנה המולקולרי של השן או מחלישים אותה.
התאמה אישית של העוצמה: מכשיר ה-Beyond Polus Advanced מאפשר לנו לשלוט בעוצמת האור ולהתאים אותה למטופל ספציפי, מה שלא קיים בערכות מדף.
איך שומרים על התוצאה לאורך זמן?
יצאתם עם חיוך הוליוודי? מעולה. עכשיו אנחנו רוצים שתיהנו ממנו כמה שיותר. מיד לאחר הטיפול, השיניים מעט יותר "סופגות", ולכן ב-48 השעות הראשונות אנו ממליצים על "דיאטה לבנה": הימנעות ממאכלים ומשקאות בעלי צבע חזק (כמו כורכום, סלק, יין אדום, קפה ותה). לאחר מכן, שמירה על היגיינה טובה וביקור אצל השיננית יעזרו לשמר את התוצאה לאורך זמן. במקרים מסוימים, ניתן לבצע טיפול תחזוקה קצר ("Touch-up") אחת לתקופה כדי לרענן את הברק.
אל תחכו לאירוע מיוחד כדי להרגיש טוב עם עצמכם. שעה אחת ב-Smile Care יכולה לשנות את כל המראה שלכם.
רוצים לבדוק התאמה להלבנת שיניים מתקדמת? צרו איתנו קשר עוד היום ושריינו לעצמכם תור לחיוך זוהר.
















