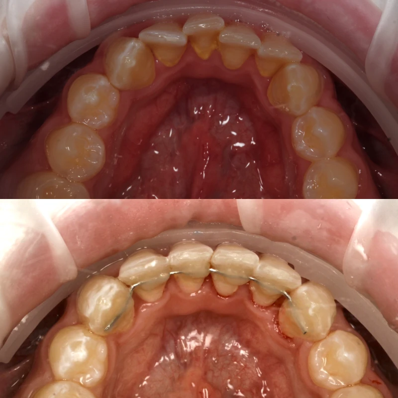
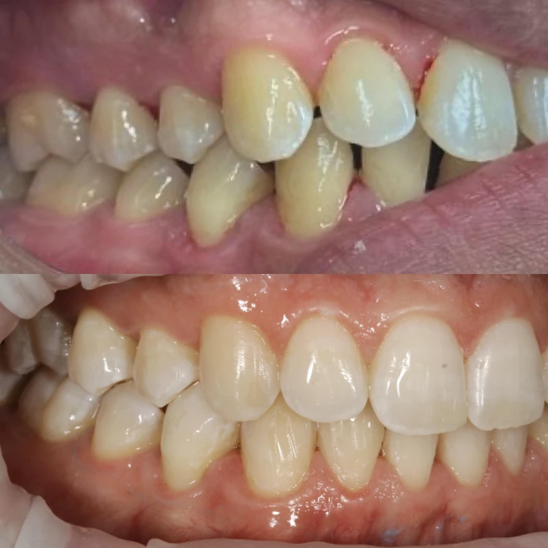
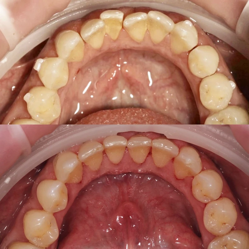
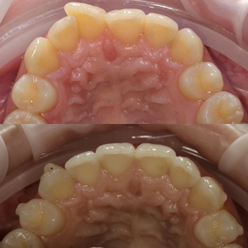
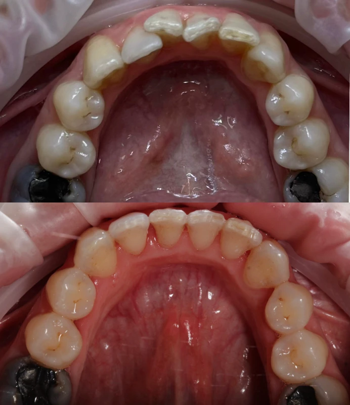
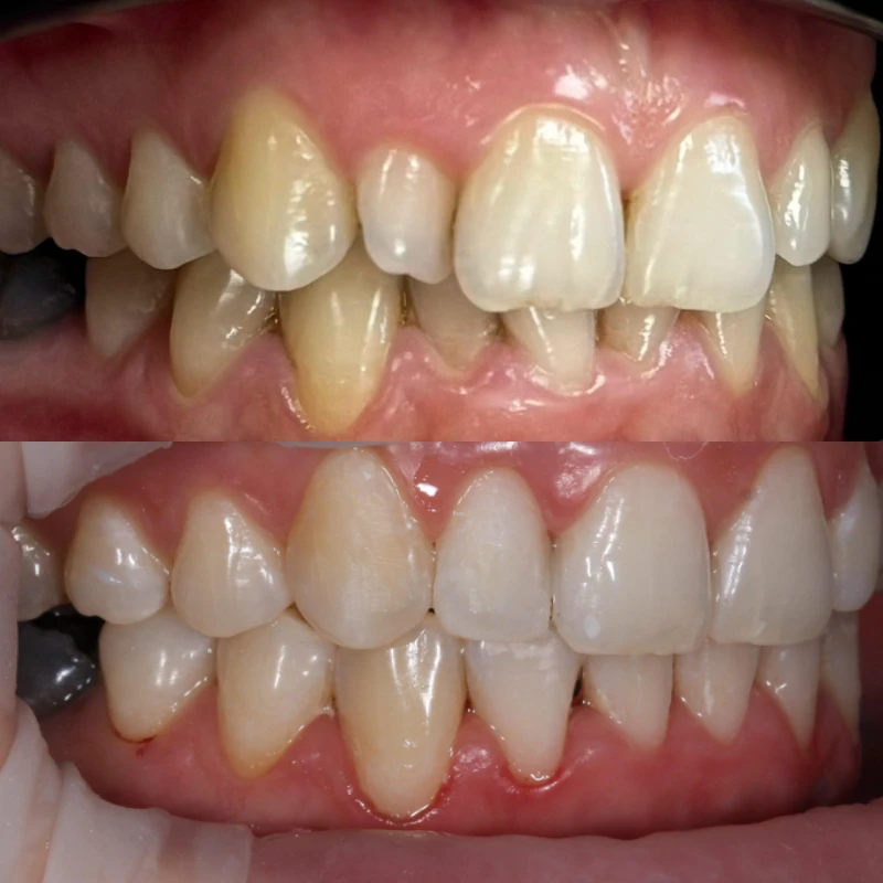
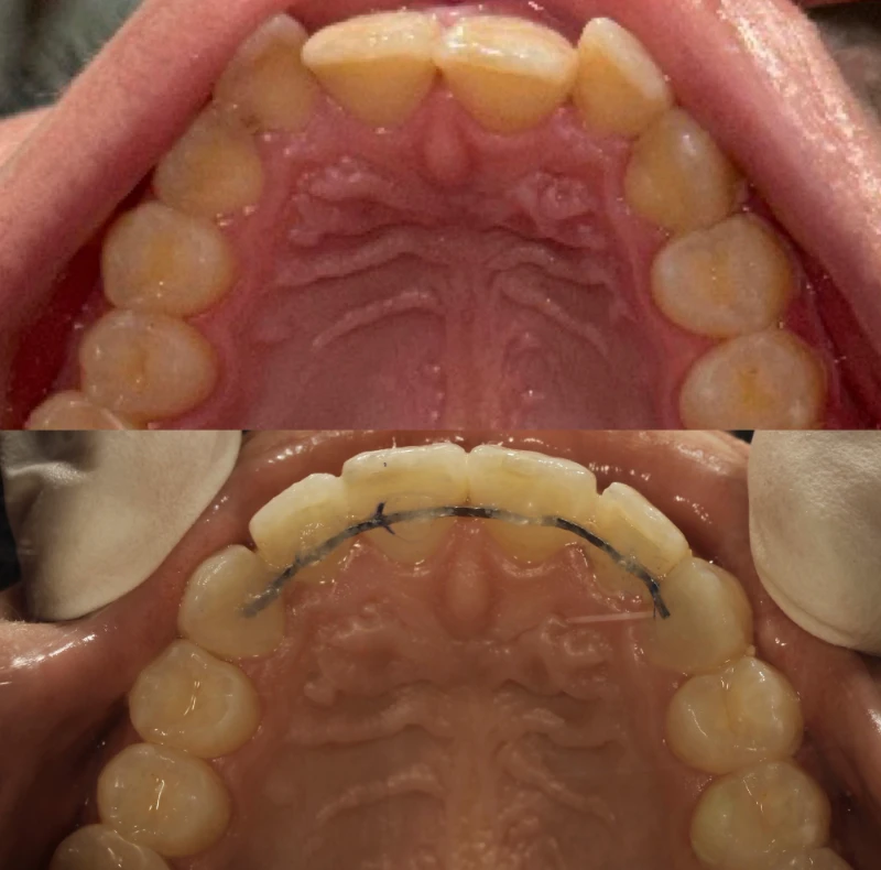
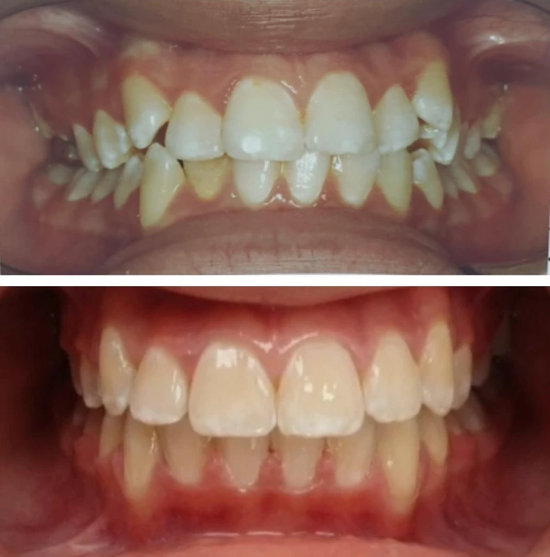
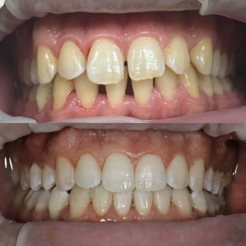
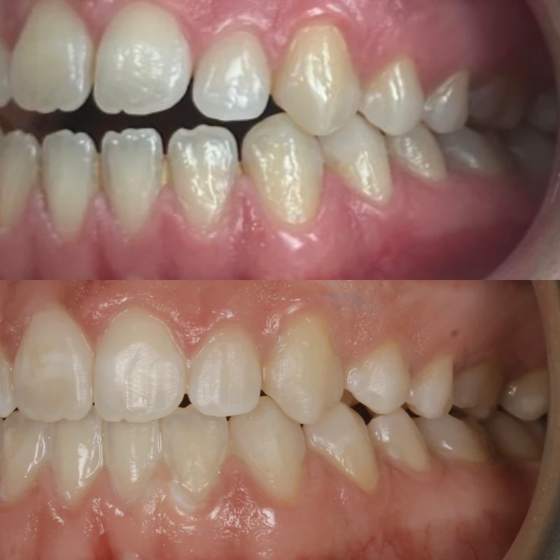
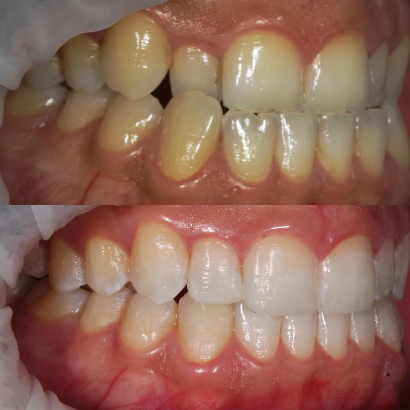
ב-Smile Care אנחנו מבצעים יישור שיניים בשיטת Invisalign ובשיטות מתקדמות נוספות, תוך הקפדה על סטנדרט רפואי חסר פשרות. הטיפול אצלנו מבוסס על תכנון ממוחשב שמותאם אישית למבנה הלסת ולחיוך שלכם. המטרה שלנו ברורה: להעניק לכם חיוך ישר, בריא ואסתטי שמשתלב בצורה טבעית עם הפנים.






















