סמייל-קר-סתימות

סתימות

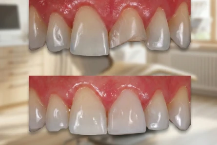
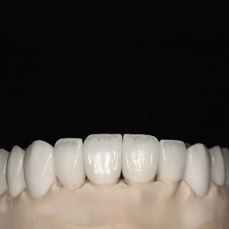
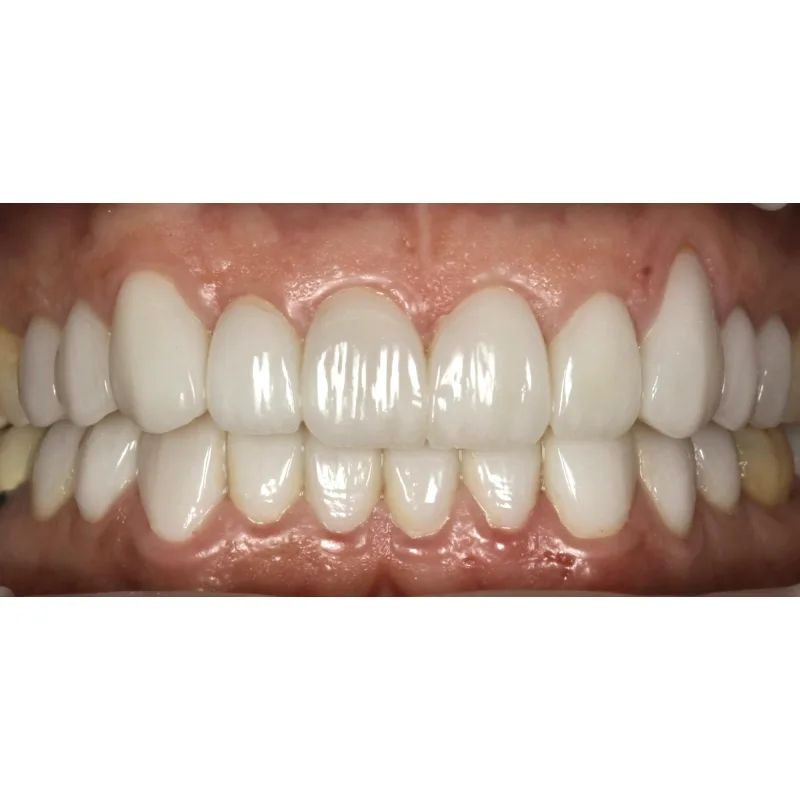
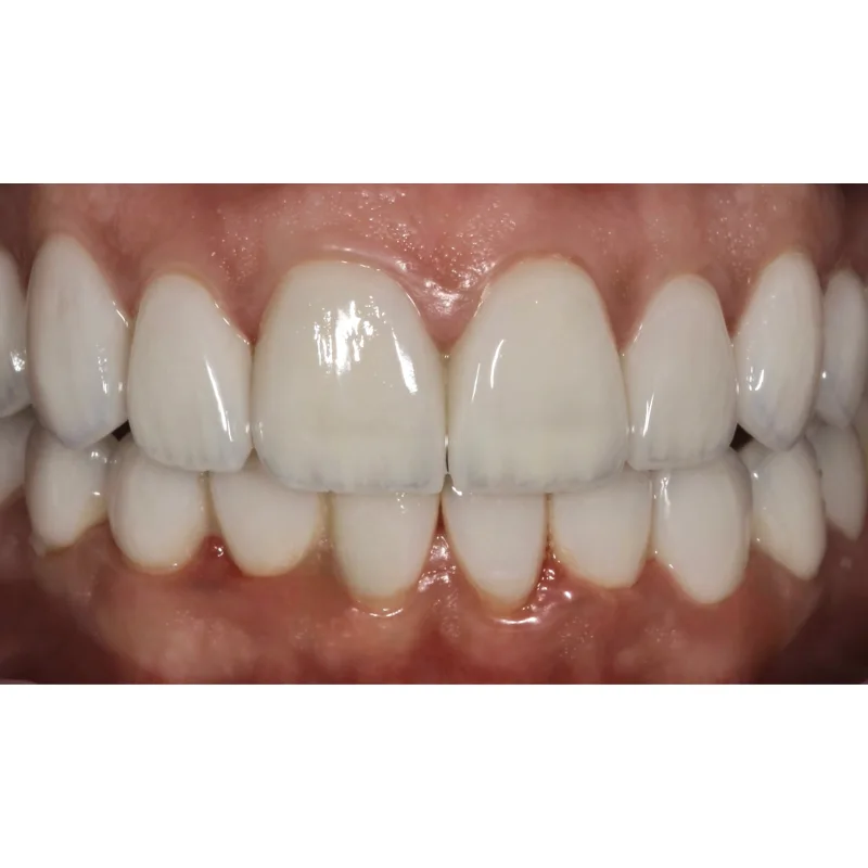
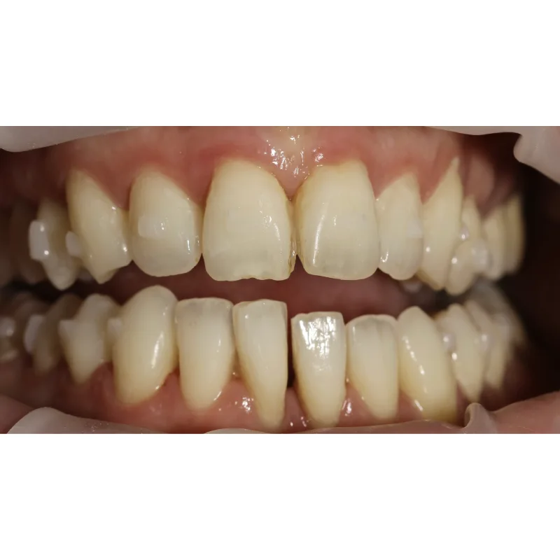
סתימות קדמיות אסתטיות - שחזור שנראה כמו שן טבעי

ב-Smile Care, המטרה שלנו בטיפול בסתימות היא פשוטה: להחזיר לשן את מה שאבד לה, בצורה הכי קרובה למקור. אנחנו לא מאמינים ב"לסתום חורים", אלא בלשחזר את השן כך שהיא תחזור לתפקד כמו שן בריאה ותיראה כאילו מעולם לא נגעו בה.

אנחנו עובדים בגישה שמרנית. זה אומר שאנחנו נלחמים על כל מילימטר של שן טבעית, מסירים רק את העששת ושומרים על חומר השן הבריא שנשאר.

 

 

 

סתימות_

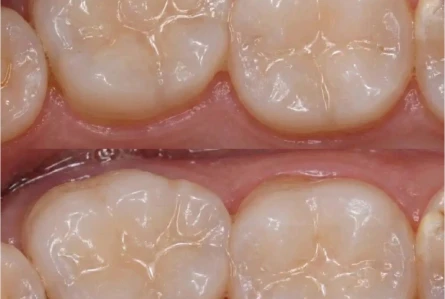
שחזורים בשיניים קדמיות שלא רואים

כשמדובר בשיניים הקדמיות – אלו שרואים כשאתם מחייכים או מדברים – האתגר הוא אסתטיקה. אף אחד לא רוצה שיראו שיש לו סתימה.

אנחנו משתמשים בחומרים מתקדמים שיודעים לחקות את השקיפות והצבע של השן הטבעית שלכם. הטכניקה שלנו נקראת "בנייה בשכבות". במקום למרוח חומר בבת אחת, אנחנו בונים את השחזור בעדינות, שכבה אחר שכבה. התוצאה היא שהתיקון משתלב בצורה מושלמת עם השן, והמעבר בין השן לסתימה פשוט נעלם לעין.

מתי זה מתאים?

  • תיקון שברים קטנים בקצה השן.
  • סגירת רווחים בין השיניים.
  • תיקון צורה או השלמת חומר שן חסר.

 

 

 

סתימות

סתימות בשיניים אחוריות שנועדו להחזיק מעמד

השיניים האחוריות צריכות לעמוד בלחץ לעיסה יומיומי חזק. בעבר היה נהוג להשתמש באמלגם (הסתימות הכסופות), אבל היום אנחנו יודעים לעשות את זה טוב יותר – גם חזק וגם אסתטי.

אנחנו משתמשים בחומרים מרוכבים (סתימות לבנות) שנדבקים לשן בצורה כימית ומחזקים אותה. במקרים שבהם החור גדול מדי וסתימה רגילה לא תחזיק מעמד, אנחנו לא ממהרים להשחיז את השן לכתר. במקום זה, אנחנו משתמשים בפתרון ביניים שנקרא "מילואה" (Inlay/Onlay). זהו שחזור שמשלים בדיוק את החלק החסר בשן בלי לפגוע בקירות הבריאים שלה.

היתרונות של הטיפול החדשני

למה עדיף לבצע שחזורים בחומרים מתקדמים?

  • מראה טבעי לחלוטין: הסתימה מתמזגת עם צבע השן ובלתי אפשרית לזיהוי, בניגוד לסתימות המתכת הבולטות.
  • חוזק ועמידות: החומרים החדשים חזקים מאוד ועמידים בפני שחיקה, מה שמאפשר לכם ללעוס בחופשיות ללא חשש.
  • בריאות ובטיחות: הטיפול מבוצע ללא מתכות וללא כספית, מחומרים בטוחים (ביו-קומפטיביליים) שלא משחירים את החניכיים או את השן.
  • הגנה משופרת: ההדבקה המיוחדת יוצרת איטום מלא שמונע חדירת חיידקים ומפחית רגישות לקור וחום בטווח הארוך.

 

המהפכה הדיגיטלית חוסכת לכם אי נוחות

במקרים של שחזורים גדולים (כמו ה-Inlay שהזכרנו), אנחנו מדלגים על השלב שרוב המטופלים הכי שונאים: מדידות עם חומר מטבע בתוך הפה שגורם לרפלקס הקאה. במקום זה, אנחנו משתמשים בסורק תלת-ממדי מתקדם. זו מצלמה קטנה שמצלמת את השן תוך שניות, בצורה מדויקת ונוחה הרבה יותר. הקובץ עובר מיד לתכנון ממוחשב, והתוצאה היא שחזור שמתאים לשן שלכם ברמת המיקרון – ללא ניחושים וללא חוסר נוחות.

 

המלצות מלקוחות בנושא סתימות

דואגים שתרגישו בנוח מהרגע הראשון

אנחנו יודעים שעבור רבים, המחשבה על טיפול שיניים מלווה במתח. חשוב לנו שתדעו שאצלנו האווירה היא אחרת – ביתית ורגועה. אנחנו מקפידים על אלחוש עדין ומדויק כך שלא תרגישו כאב, ועובדים בקצב שלכם. הכל מוסבר לכם מראש בגובה העיניים, ואין הפתעות. המטרה שלנו היא שתצאו מהטיפול בהרגשה טובה, בדיוק כמו שנכנסתם.

 

למה חשוב לנו לעבוד עם בידוד והגדלה

כדי שהסתימה תחזיק מעמד שנים ולא תתפתח מתחתיה עששת חדשה, הדיוק הוא קריטי. לכן אנחנו עובדים עם משקפי הגדלה שמאפשרים לנו לראות כל פרט קטן ולנקות את העששת בצורה מושלמת. בנוסף, אנחנו מקפידים על עבודה ב"סביבה יבשה" (לעיתים בעזרת סכר גומי), שמונעת כניסת רוק ורטיבות בזמן ההדבקה.

זה אולי נשמע כמו פרט טכני, אבל זה מה שמבטיח שהשחזור לא יתנתק ושלא תהיה רגישות אחרי הטיפול.

 

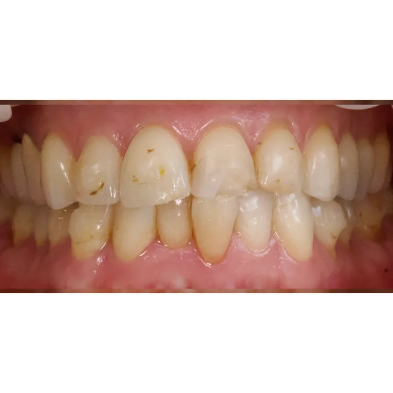
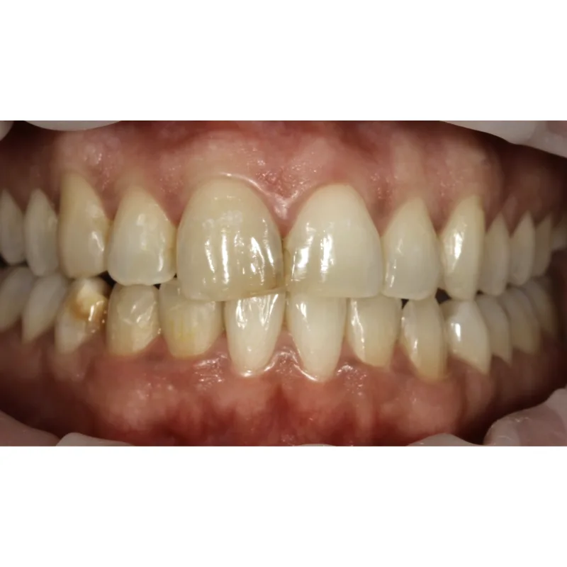
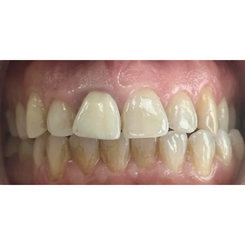
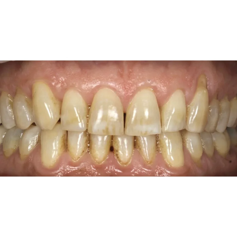
שאלת מיליון הדולר – האם להחליף סתימות ישנות?

הרבה מטופלים שואלים אותנו אם צריך להחליף את הסתימות הכסופות הישנות. התשובה שלנו היא: לא תמיד. אם הסתימה תקינה והשן בריאה, אין סיבה לגעת. אבל, אם הסתימה סדוקה, אם יש עששת חדשה שהתפתחה תחתיה, או אם היא מפריעה לכם אסתטית – אז כדאי להחליף.

החומרים החדשים שאנחנו משתמשים בהם בריאים יותר לחניכיים, נראים טוב יותר ומונעים סדקים בשן בטווח הארוך.

 

בואו נבדוק מה המצב אצלכם

אם יש לכם שן שמציקה, רגישות לקור, או סתימה ישנה שנראית לכם חשודה, אנחנו מזמינים אתכם לבדיקה ב-Smile Care.

נסתכל, נצלם, ונסביר לכם בדיוק מה המצב ומה הפתרון הכי נכון ושמרני עבורכם.

אנחנו כאן לכל שאלה, מוזמנים ליצור קשר.

 

שאלות ותשובות - סתימות

האם טיפול בסתימה כואב?
ברוב המקרים הטיפול אינו כואב כלל. אנו מבצעים אלחוש מקומי עדין ומדויק, כך שהמטופלים מרגישים נוחות מלאה במהלך הטיפול.
משך הטיפול תלוי בגודל הסתימה, אך לרוב מדובר בטיפול קצר שנמשך בין 20 דקות לשעה, ומתבצע בפגישה אחת.
כן. אנו משתמשים בחומרים מתקדמים בגוון השן ובטכניקת בנייה בשכבות, כך שהתוצאה משתלבת בצורה טבעית לחלוטין ואינה נראית לעין.
סתימות מודרניות יכולות להחזיק מספר שנים ואף יותר, תלוי בגודל השחזור, עומסי הלעיסה והיגיינת הפה.
לא תמיד. אם הסתימה תקינה ואין עששת מתחתיה, אין צורך להחליף. במקרים של שבר, שחיקה או בעיה אסתטית, מומלץ לשקול החלפה.
במקרים כאלה ניתן להשתמש בפתרונות מתקדמים כמו Inlay או Onlay, שמאפשרים לשחזר את השן בצורה מדויקת וחזקה יותר, בלי לפגוע בחלקים בריאים של השן.

קביעת פגישה

כדי לקבל טיפול מדויק ומקצועי שמתאים בדיוק למצב שלך,
השאר פרטים ונחזור אליך לתיאום פגישה.