



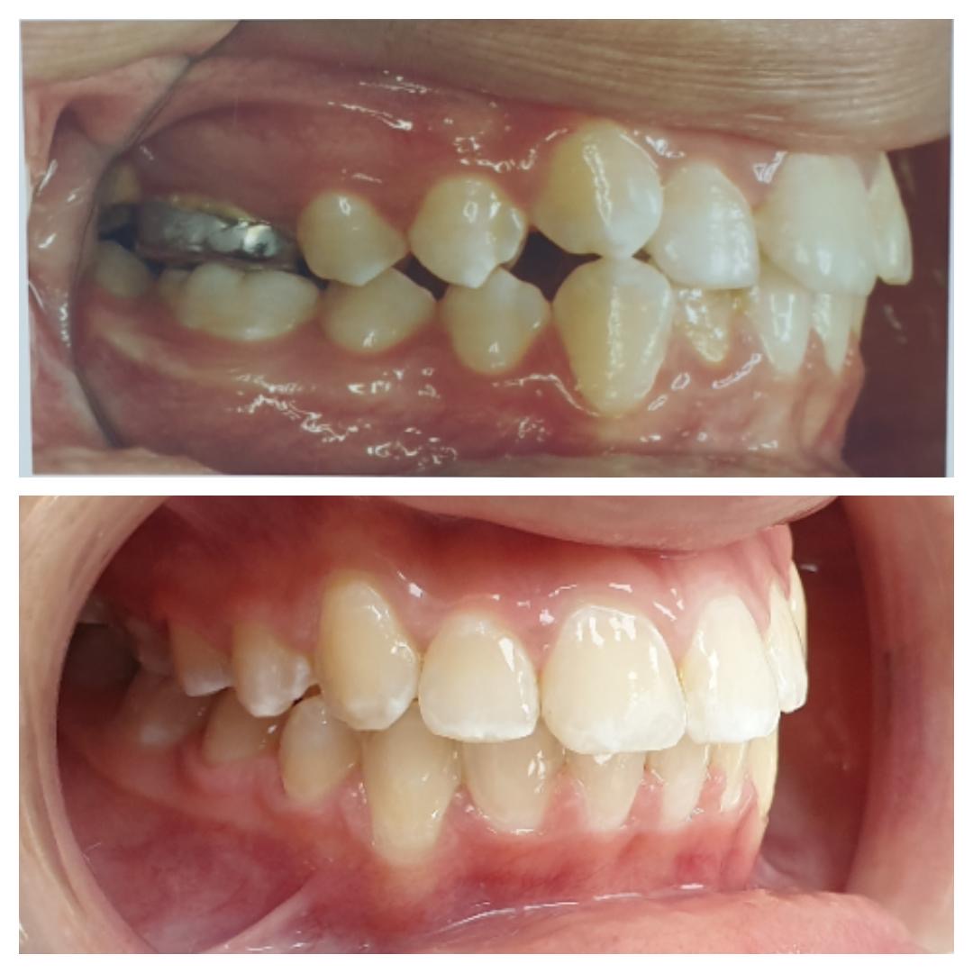
כמעט בלתי נראות
אוכלים, שותים ומצחצחים כרגיל
מותאם אישית
אין סמכים או חוטים
עם סריקה תלת־ממדית ותוכנית ברורה מראש
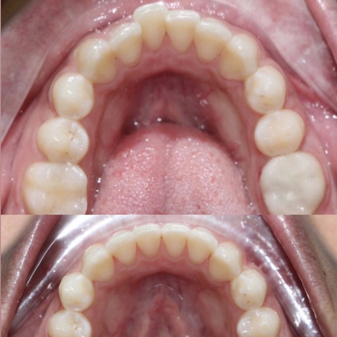
יותר ממה שחשבת
נסרוק את החיוך שלך בטכנולוגיית iTero ונראה איך תיראה התוצאה הסופית כבר מההתחלה.
תתחיל סדרת קשתיות אישיות, כל אחת מקדמת אותך שלב נוסף לחיוך הרצוי.
פגישות קצרות לתיאום ומעקב – כל כמה שבועות.
ובסיומו – קיבוע דיסקרטי לשמירה על התוצאה.






תאמו עכשיו פגישת הדמיה בקליניקה ראשונית וגלו איך השיניים שלכם יכולות להיראות!
תוך פגישה אחת תוכלו להתחיל בתהליך להשגת החיוך שישדר ביטחון בכל מפגש, תמונה או ראיון עבודה.