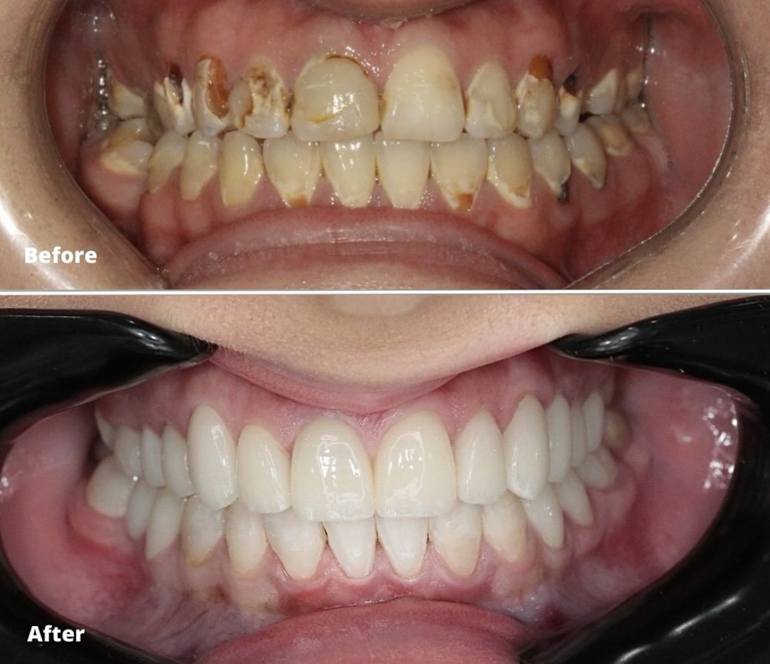
שיקום הפה הוא תהליך הכולל שחזור של שיניים חסרות או הרוסות –
באמצעות שתלים דנטליים, כתרים, גשרים או פתרונות מותאמים אישית.
ב-Smile Care אנחנו מתמחים בבנייה מחדש של חיוכים –
בדרך שמותאמת בדיוק למצב הבריאותי, לרצונות האסתטיים ולתוצאה שתרצה לראות מולך במראה.
ניסיון רחב במקרים פשוטים ומורכבים
עבודה מדויקת בשיתוף עם טכנאי שיקום מובילים
שימוש בחומרים מתקדמים ובמערכות שתלים איכותיות
תכנון ממוחשב – מקסימום התאמה ומינימום הפתעות
סביבה רגועה, מקצועית ואנושית
שתלים הם דיבלים קטנים ממתכת (טיטניום), שמחליפים את שורש השן שנפגעה.
עליהם בונים כתר קבוע שנראה ומתפקד כמו שן רגילה.








תאמו עכשיו פגישת הדמיה בקליניקה ראשונית וגלו איך השיניים שלכם יכולות להיראות!
תוך פגישה אחת תוכלו להתחיל בתהליך להשגת החיוך שישדר ביטחון בכל מפגש, תמונה או ראיון עבודה.